
Trusted Orthodontic Office in Indian Trail, NC
Affordable Braces & Invisalign for Adults and Children
Among the Best Orthodontists in Charlotte
We are a doctor-owned practice led by Dr. Lindsey Koerich and Dr. Leonardo Koerich, husband-and-wife known for combining research-driven precision with advanced treatment planning. Our team integrates modern technology with personalized care to create lasting smiles. Not part of a corporate chain, we believe families in Indian Trail deserve exceptional orthodontic care close to home.
Meet Dr. Lindsey Koerich, DDS, MS
Your Top-Rated Family Orthodontist Indian Trail Orthodontist


Meet Dr. Leo Koerich, DDS, MS
Your Dentist with Practice Limited to Orthodontics
Starting Orthodontics is Easy
Schedule
Choose Your Plan
Same-Day Braces
Core Orthodontic Services – Orthodontic Treatment in Indian Trail, NC
Braces
Invisalign
Airway Orthodontics
Orthodontics for Adults
Orthodontics for Children
TMJ Treatment
Bite Problems & Airway Habits
Overbite
Underbite
Crossbite
Open Bite
Crowding
Spacing
Tongue Thrust
Mouth Breathing
Cost & Insurance Braces & Invisalign in Indian Trail
At Koerich Orthodontics – Indian Trail, we believe everyone deserves a confident smile.
- Customized financing options are available for braces and Invisalign, including down payments as low as $99 and 0% interest in-office financing, with extended payment plans through LendingPoint
- We accept and are in-network with many North Carolina orthodontic insurance plans
- Free insurance check at your first visit to help you understand your benefits
- Our team submits claims on your behalf and bills your insurance company directly as a courtesy
- Transfer patients welcome — we’re happy to continue care from another orthodontic office




Advanced Orthodontic Appliances
Palatal Expander
Retainers
TMJ Mouth Guard

Advanced Technology for Comfortable, Precise Orthodontic Care
- Digital Scans & 3D Planning: Detailed digital scans to plan your treatment accurately.
- LightForce Clear Braces: Personalized clear braces designed with advanced 3D technology.
- Clear Aligner Options: Invisalign® aligners for nearly invisible, removable treatment.
- Traditional Braces: Metal and ceramic braces to address a wide range of orthodontic needs.
- Emergency Support: Prompt assistance for urgent orthodontic concerns.
What Our Patients Say
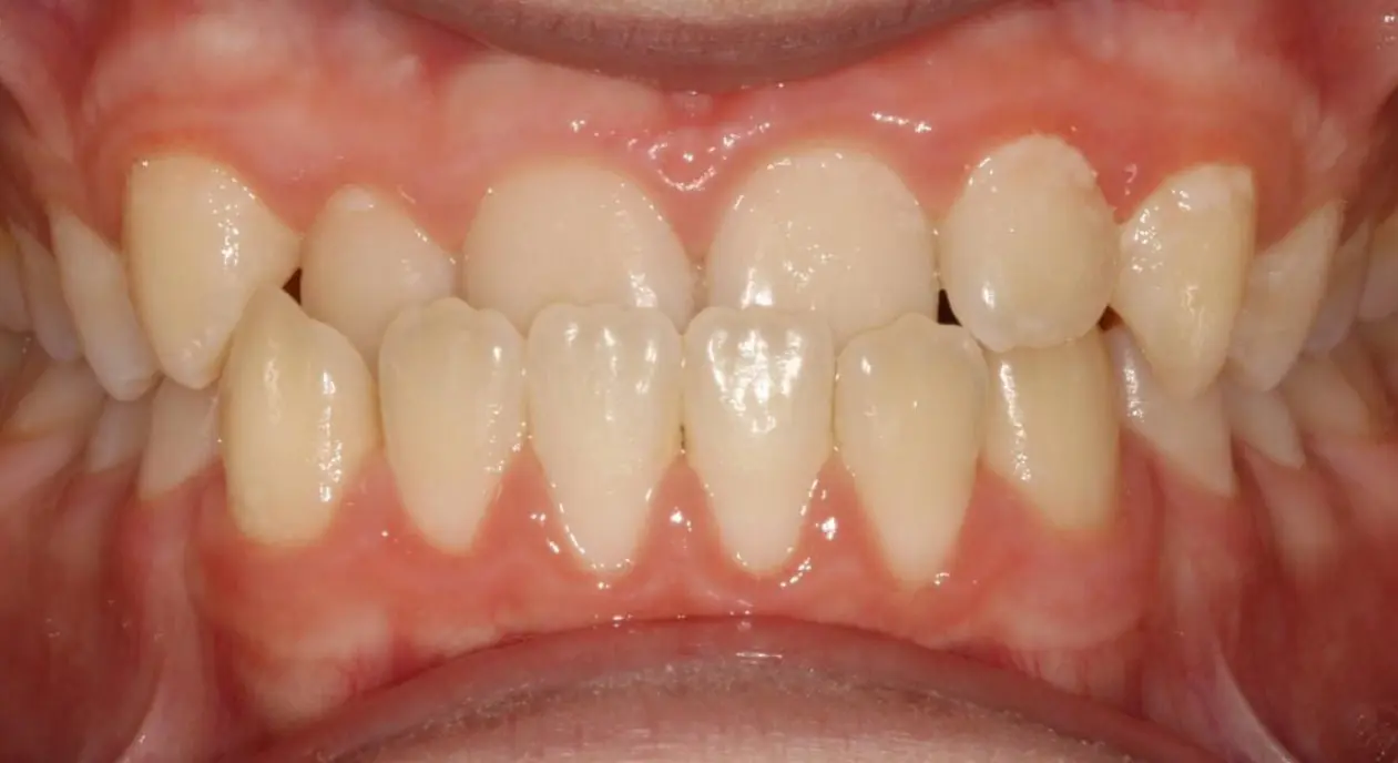
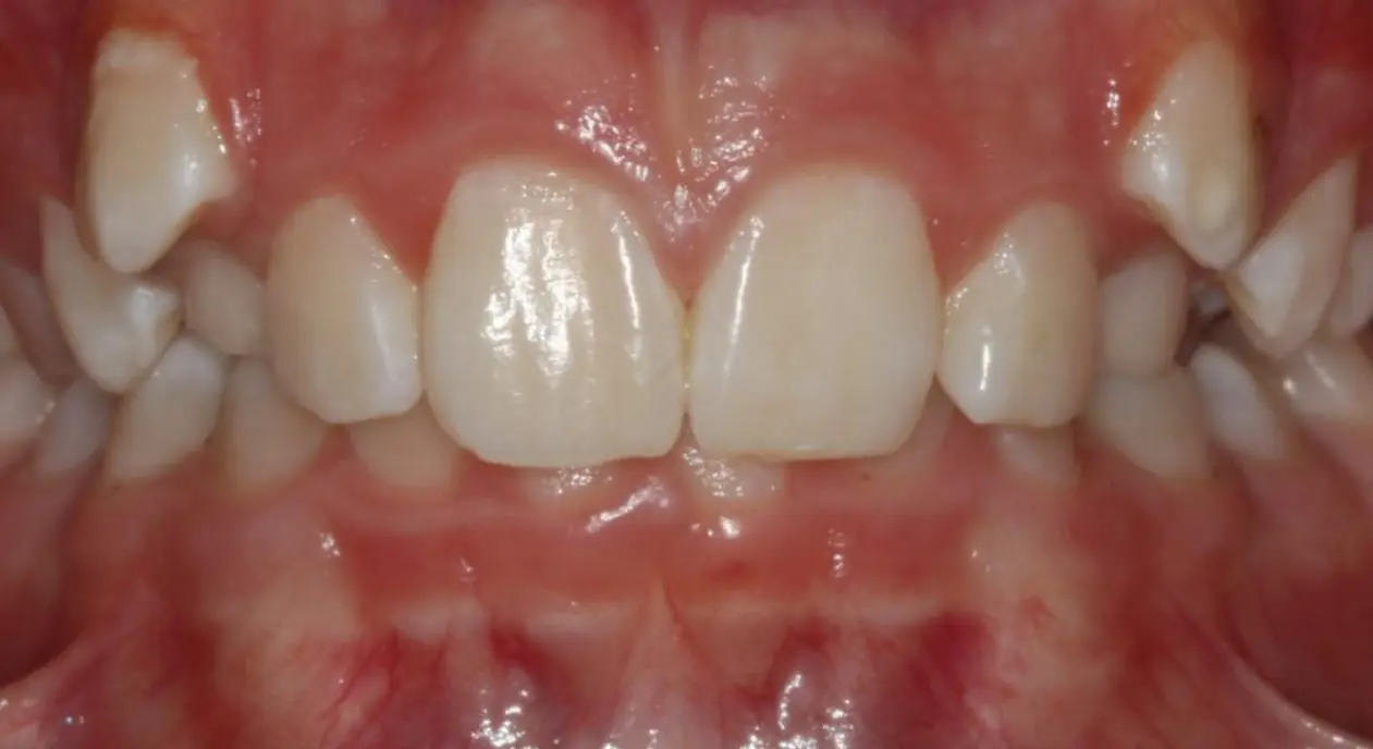
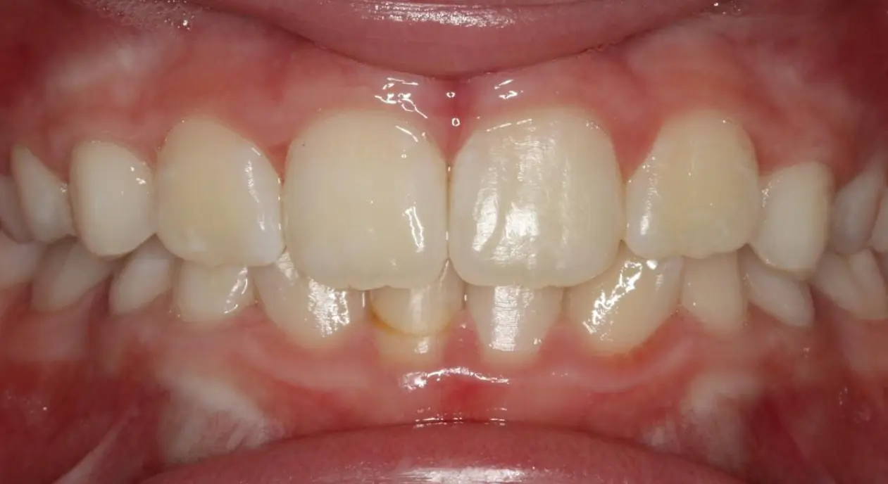
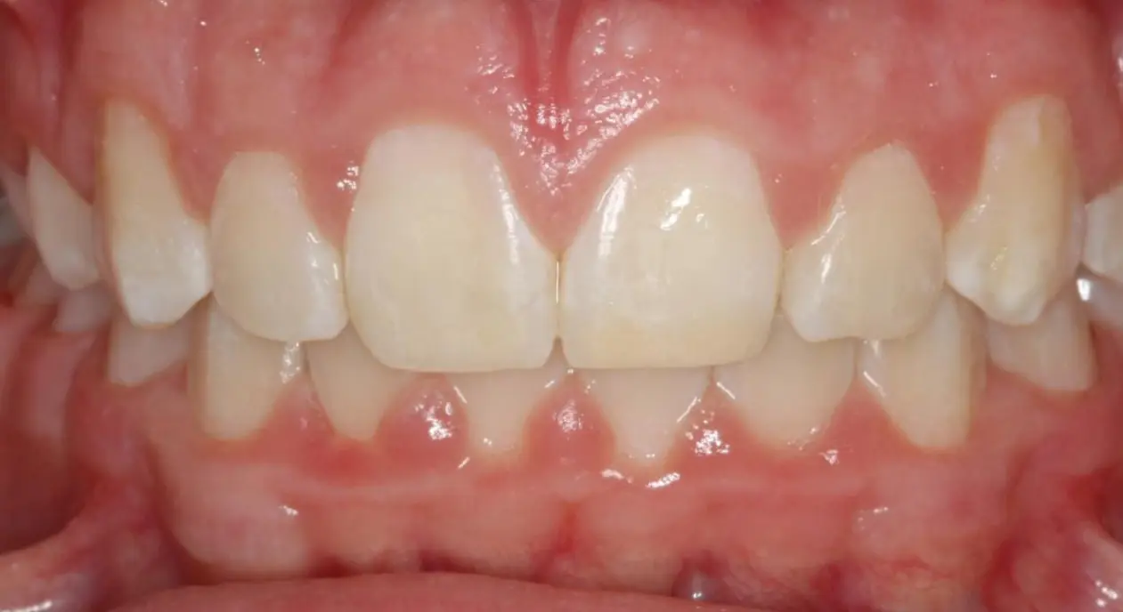
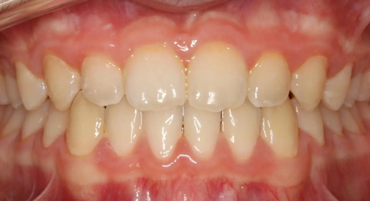
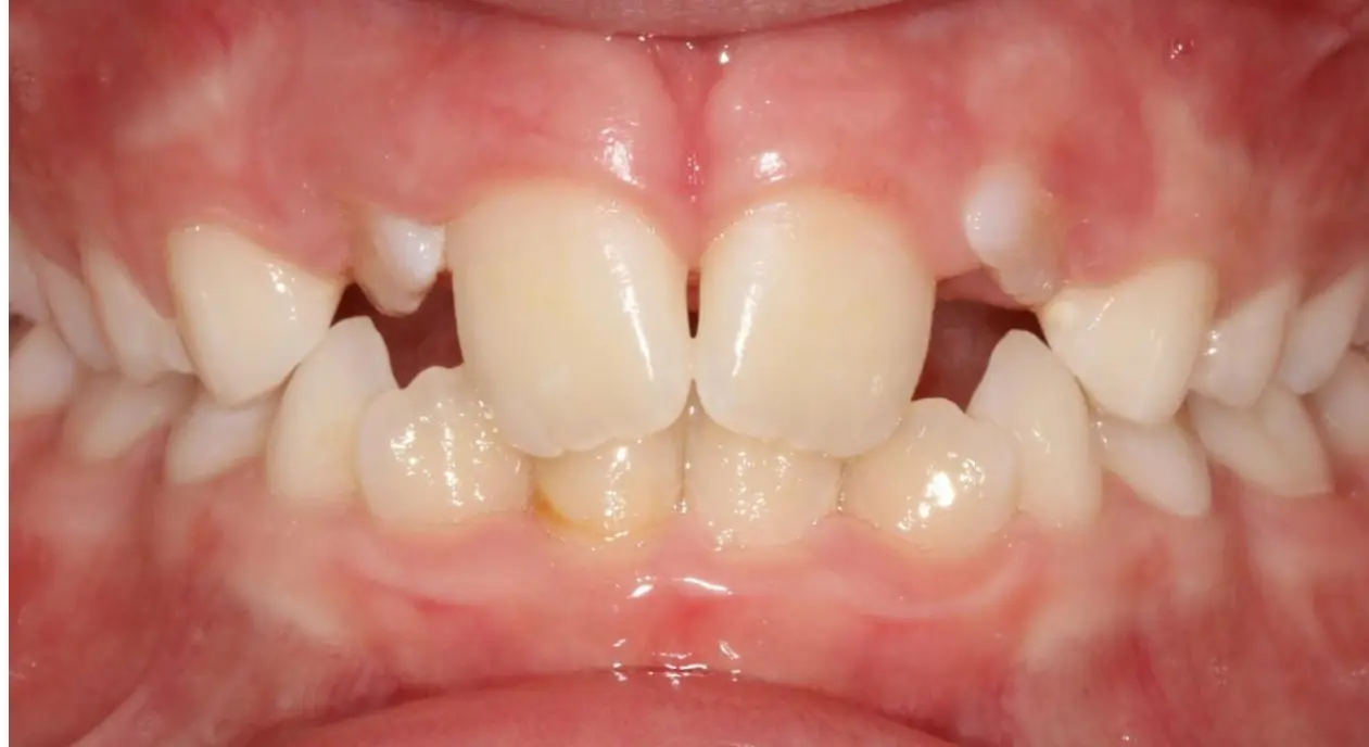
Smile Gallery: Invisalign & Braces Before‑and‑After in Indian Trail, NC
Invisalign
Braces
Braces
Inside Koerich Orthodontics – Indian Trail Braces & Invisalign
Your Orthodontic Office in Indian Trail
6437 Old Monroe Rd Suite H
Indian Trail, NC
28079
Conveniently located in Indian Trail, our office is easily accessible near key landmarks such as the Sun Valley Commons Shopping Center, Chestnut Square Park, and Crooked Creek Park. Situated just off Old Monroe Road and close to Independence Boulevard (US-74), we are ideally positioned to serve patients throughout Indian Trail, Stallings, and nearby communities.
We’re only 10 minutes from Matthews, 15 minutes from Weddington, and a short drive from Monroe, NC. Our central location makes it easy for patients from surrounding areas to receive top-quality orthodontic care.
Our practice proudly serves patients from Indian Trail, Stallings, Matthews, Weddington, Monroe, Mint Hill, Hemby Bridge, and Wesley Chapel. Whether you live nearby or are commuting from a neighboring town, we welcome you to experience expert orthodontic care in a comfortable and convenient setting.






