
Among the Best Orthodontists in Charlotte
We are a doctor-owned practice led by Dr. Lindsey Koerich and Dr. Leonardo Koerich, husband-and-wife known for combining research-driven precision with advanced treatment planning. Our team uses modern technology alongside personalized care to ensure lasting smile results. Not part of a corporate chain, we believe families in Charlotte deserve top-quality orthodontic care close to home.
Meet Dr. Lindsey Koerich, DDS, MS
Your Top-Rated Family Orthodontist Charlotte Orthodontist


Meet Dr. Leo Koerich, DDS, MS
Your Dentist with Practice Limited to Orthodontics
Starting Orthodontics is Easy
Schedule
Choose Your Plan
Same-Day Braces
Core Orthodontic Services – Orthodontic Treatment in Charlotte, NC
Braces
Invisalign
Airway Orthodontics
Orthodontics for Adults
Orthodontics for Children
TMJ Treatment
Bite Problems & Airway Habits
Overbite
Underbite
Crossbite
Open Bite
Crowding
Spacing
Tongue Thrust
Mouth Breathing
Cost & Insurance Braces & Invisalign in Charlotte
At Koerich Orthodontics – Charlotte, we believe everyone deserves a healthy, beautiful smile.
- Affordable, personalized payment plans for braces and Invisalign, with $99 down and 0% interest in-office financing, plus LendingPoint options
- We accept many North Carolina orthodontic insurance plans and help simplify your coverage
- Free insurance check at your first visit so you know what’s covered before treatment begins
- We file claims on your behalf and work directly with your insurance company
- Transfer patients welcome — we’re happy to continue care from another orthodontic office




Advanced Orthodontic Appliances
Palatal Expander
Retainers
TMJ Mouth Guard

Advanced Technology for Precise, Comfortable Orthodontic Care
- Digital Scans & 3D Planning: Accurate digital imaging for a comfortable treatment experience.
- LightForce Clear Braces: Custom 3D-designed clear braces for fast, precise results.
- Clear Aligner Options: Invisalign® for discreet, removable teeth straightening.
- Traditional Braces: Modern metal and ceramic braces for effective orthodontic care.
- Emergency Support: Timely care for urgent orthodontic needs.
What Our Patients Say
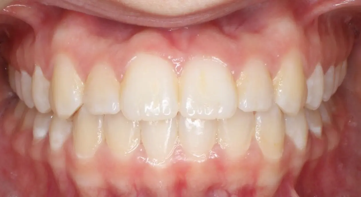
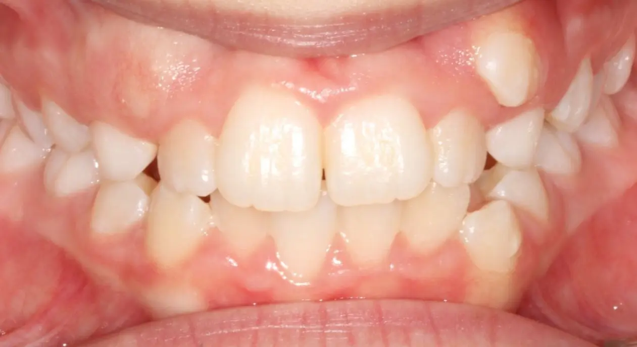
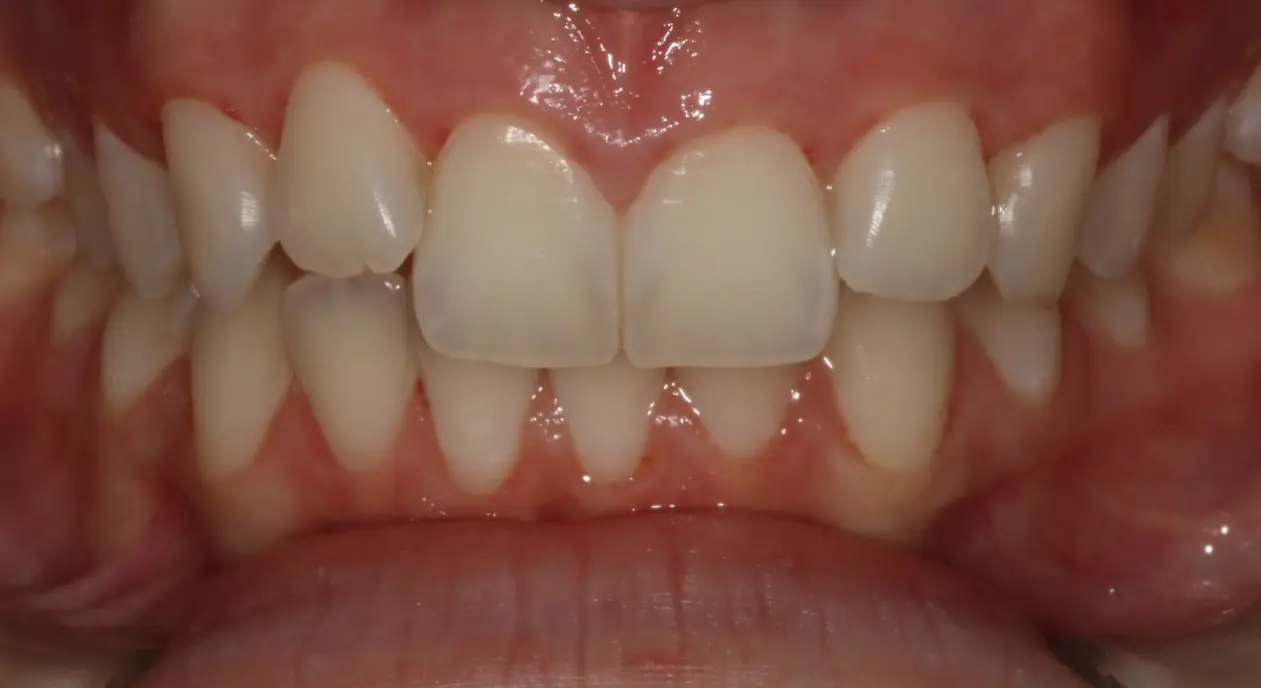
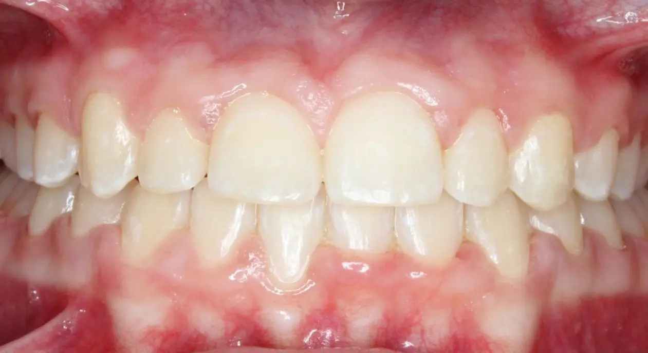
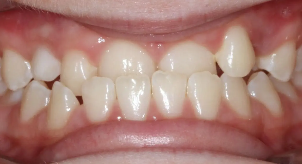
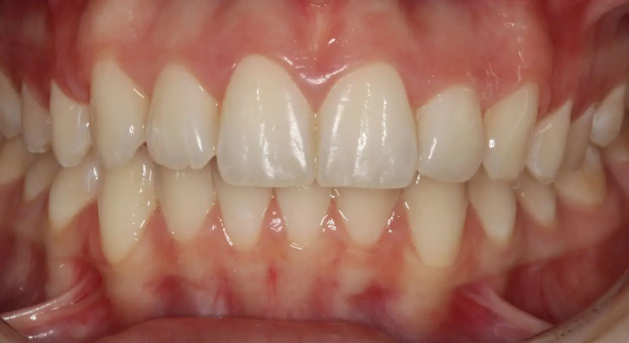
Smile Gallery: Invisalign & Braces Before‑and‑After in Charlotte, NC
Invisalign
Braces
Braces
Inside Koerich Orthodontics – Charlotte Braces & Invisalign
Your Orthodontic Office in Charlotte
7922 Rea Rd A
Charlotte, NC
28277
Conveniently located in the heart of South Charlotte, our office is easily accessible near key landmarks such as the Blakeney Shopping Center, Stonecrest at Piper Glen, and Ballantyne Village. Situated just off Rea Road and I-485, we are perfectly positioned to serve patients throughout the Charlotte and Ballantyne communities.
We’re only 10 minutes from Ballantyne, 15 minutes from Weddington, and a short drive from Matthews, NC. Our location makes it convenient for patients across South Charlotte and surrounding neighborhoods.
Our practice proudly serves top neighborhoods in the Charlotte area, warmly welcoming patients from Blakeney, Ballantyne, Piper Glen, Weddington, Marvin, Waxhaw, Indian Land, and Matthews.






